Accessible Version
South Tampa Dentistry
A Great Dentist

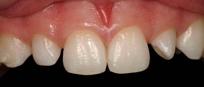
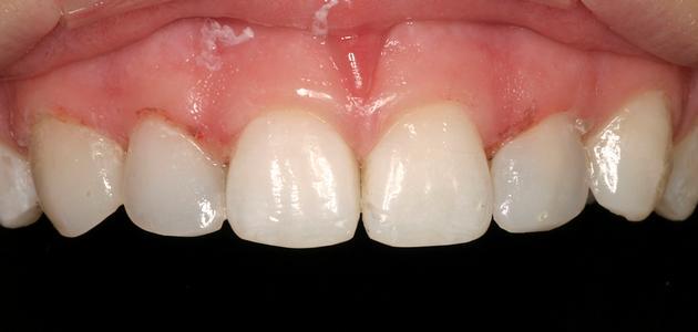
Dental veneers

This patient's small teeth gave her smile an unusual look. The gaps between the teeth also tended to trap food, making her self-conscious. Using two porcelain veneers, we were able to completely transform the appearance of her smile, and now she shows it off with confidence!

Related Services:

Porcelain Veneers
Ready to book an appointment?
If you have difficulty using our website, please email us or call us at (813) 835-0090
View the ADA Accessibility Statement